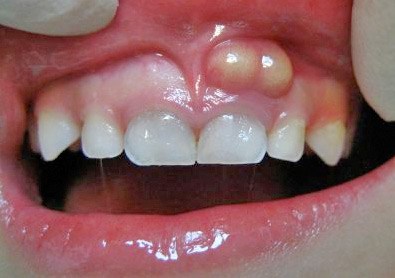
Cara Menghilangkan Gusi Bengkak Pada Anak

Obat Gusi Bengkak Yang Paling Ampuh Untuk Anda

Obat Gusi Bengkak Yang Paling Ampuh Untuk Anda

Gigi Bungsu Tumbuh Coba 11 Cara Efektif Ini Untuk Mengusir Rasa

Gigi Bungsu Tumbuh Coba 11 Cara Efektif Ini Untuk Mengusir Rasa

Penyebab Gejala Dan Cara Mengobati Abses Gigi Pharmacy Care

Penyebab Gejala Dan Cara Mengobati Abses Gigi Pharmacy Care

Bikin Tersiksa Begini Cara Mengatasi Gusi Bengkak Pada Anak

Bikin Tersiksa Begini Cara Mengatasi Gusi Bengkak Pada Anak

Obat Gusi Bengkak Anak Madu Antariksa

Obat Gusi Bengkak Anak Madu Antariksa

Gusi Bernanah Dan Bengkak Ini Solusinya Honestdocs

Gusi Bernanah Dan Bengkak Ini Solusinya Honestdocs

14 Cara Mengobati Gusi Bengkak Dengan Obat Alami Health Liputan6 Com

14 Cara Mengobati Gusi Bengkak Dengan Obat Alami Health Liputan6 Com